Estetica dental, dentistas, ortodoncistas buenos aires argentina Tel. 4961-8116
Casos Clínicos de Ortodoncia
En esta sección encontrarás los casos clínicos que prueban la eficiencia de la ortodoncia y su alta efectividad estética.
Caso Clínico de Ortodoncia:
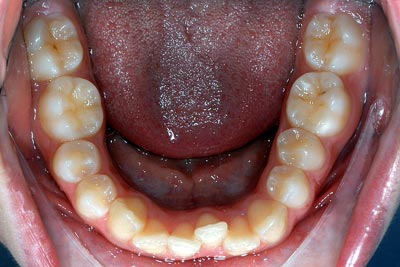
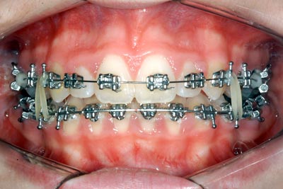
Clase II molar y relación canina en 2 con importante apiñamiento superior con falta de espacio para ambos caninos y pieza 22 con mordida invertida. Desviación de línea ½ superior hacia la izquierda del paciente y ausencia de piezas 26 y 46 con 3º molares inferiores retenidos.
1- Foto inicial donde se observa la falta de espacio para piezas 13 y 23 ,el apiñamiento sup. e inf y pieza 22 invertida
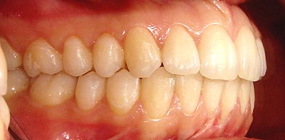
2- Foto inicial vista lateral con overjet y overbite alterados. Ausencia de relacion canina.Ausencia de pieza 46
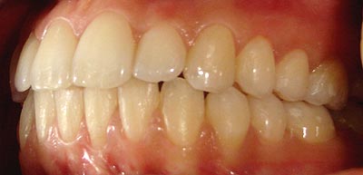
3- Otra vista lateral viendo ausencia de piezas posteriores
4-Vista oclusal superior con importante apiñamiento y arcada comprimida
5-Vista oclusal inferior con apiñamiento y falta de desarrollo de la arcada
6- Instalacion aparatologia superior con placa de levante inferior
7- Vista lateral del armado
8- Vista lateral derecha del paciente
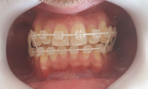
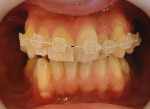
9- Vista frontal evolucion del tratamiento
10-Vista oclusal redondeo arcada y vestibulizando pieza 22
11- Pieza 22 ya en la arcada
12- Armado max. inferior
13- Vista frontal en proceso del alineado inferior
14-Ambos maxilares alineados y nivelados
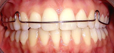
15-Uso de gomas intermaxilares para asentamiento
16-Vista lateral de gomas intermaxilares
17-Vista lateral de gomas intermaxilares
18-Retiro aparatologia
19-Antes y despues
20-Antes y despues sonrisa
Caso Clínico de Ortodoncia:
Clase I molar con ausencia de las piezas 1.5 y 4.6.
Giroversón importante de la pieza 1.1 y mordida cruzada de la pieza 3.4.
Importante apiñamiento antero superior e inferior.
Volcamiento de la pieza 4.7.
1-Inicial del tratamiento con giroversion de la pieza 11 y apiñamiento
2-Vsta lateral derecho con overjet y overbite disminuidos
3- Vista lateral izquierdo observando pieza 3.4 invertida
4-Vista oclusal del maxilar inferior con apiñamiento
5-Vista oclusal del maxilar superior con apiñamiento y giroversiones
6-Progreso de la alineacion del mailar superior
6b -Vista frontal en oclusion logrando correccion de inc.centrales
7-Vista lateral derecha del progreso del tratamiento
8-Vista lateral izquierdo alineacion superior
9-Armado maxilar inferior
10- Vista de ambas arcadas en alineacion
11- Vista lateral del alineado inferior
12-Se observa expansion y alineacion de ambas arcadas
13- Etapa de asentamiento oclusal
14-Vista lateral de uso de gomas intermaxilares
15-Vista lateral izq del asentamiento
16- Final del tratameinto vista frontal
17-Retiro aparatologia vista lateral
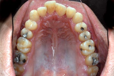
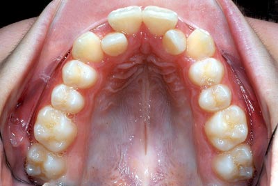
19- Vista oclusal maxilar superior alineado
20-Vista oclusal maxilar inferior alineado
21- Antes y después
Caso Clínico de Ortodoncia:
Clase I molar con mordida invertida de piezas 12 y 33, con falta de espacio para 33.
Línea media dentaria superior desviada hacia la derecha del paciente e inferior hacia la izquierda. Importante apiñamiento anteroinferior. Ausencia de pieza 13.
1-Foto inicial de frente en oclusión
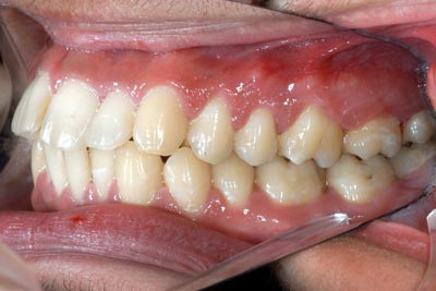
2- Vista lateral derecho .Clase I molar y ausencia de relacion canina x falta pieza 1.3.
3- vista lateral izquierda clase I molar y alteracion relación canina
4- Armado superior con brackets de porcelana
5-Exodoncia pieza 2.4
6- Armado inferior
7- Exodoncia pieza 3.4
8- Exodoncia pieza 4.4
9-Alineamiento y corrección línea media
10-Ambos maxilares totalmente alineados
11-Foto final frente en oclusión
12-Foto final lateral derecho con mimetización de pieza 14 a canino
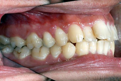
13-Foto final lateral izquierdo
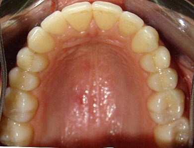
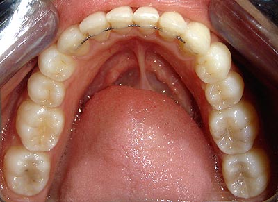
14-Vista oclusal maxilar superior finalizado
15-Vista oclusal maxilar inferior finalizado
16-Antes y despues
Caso Clínico de Ortodoncia:
Caso clínico de ortodoncia convencional con armado de ambos maxilares con brackets de zafiro. Diagnóstico: -Clase ii molar con sobremordida. -Apiñamiento anterior en ambas arcadas con mordida cruzada de la pieza 3.5.
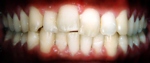
1- Vista frontal de la sobremordida
2- Vista inicial lateral derecho. clase II molar
3- Vista inicial lateral izquierdo
4- Vista oclusal arcada superior con apiñamiento
5- Vista oclusal maxilar inferior apiñamiento
6- Armado maxilar superior con Brackets porcelana
7- Vista lateral izquierdo
8- Vista lateral derecho
9- Vista del alineamiento superior
10- Secuencia del tratamiento
11- Armado inferior con topes
12- Vista lateral izquierdo armado inferior
13- Vista lateral derecho armado inferior
14- Vista frontal alineamiento
15- Lateral derecho alineado
16- Lateral izquierdo alineado
17- Secuencia de arcos
18- Arcada superior totalmente alineada
19- Arcada inferior totalmente alineada
20- Uso de gomas intermaxilares
21- Asentamiento y corrección clase II
22- Asentamiento y corrección clase II
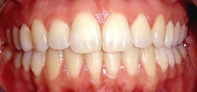
23- Vista frontal final de tratamiento
24- Arcada superior finalizada
25- Arcada inferior finalizada con contención fija
26- Comparativa antes y después del tratamiento
Caso Clínico de Ortodoncia:
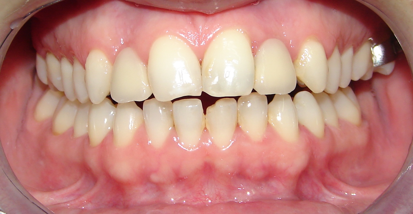
Clase I molar con ausencia de pieza 12. Puente de mayor tamaño de 13 a 11 y apiñamiento inferior. Tratamiento: Ortodoncia solo en maxilar inferior (alineando-nivelando). Implante en la pieza 12 y protesis fija (coronas de porcelana) de 13 a 23.
RX inicial. Se observa puente piezas anterores con ausencia del 1.2
1. Vista de frente en oclusion. Puente con mayor tamaño dentario.
2. Vista lateral derecha.
3. Vista lateral izquierda.
4. Vista oclusal maxilar inferior con apiñamiento anterior.
5. Vista oclusal maxilar superior con puente metálico con frente estético.
6. Vista del apiñamiento inferior.
7. Armado maxilar inferior con brackets estéticos.
8. Vista lateral derecha.
9. Vista lateral del armado.
10. Alineado maxilar inferior.
11. Secuencia de arcos.
12. Secuencia de arcos inferiores.
13. Retiro de aparatología y Contención fija inferior.
14. Implante superior pieza 1.2 y coronas de porcelana.
15. Final de tratamiento – Vista lateral.
16. Vista lateral izquierdo.
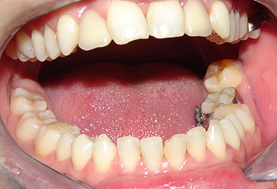
17. Final de tratamiento.
18. Comparativo antes y después del tratamiento.
Caso Clínico de Ortodoncia:
Clase I molar con sobremordida e importante apiñamiento anteroinferior.
1. Foto inicial frente. Sobremordida con importante apiñamiento antero superior e inferior con desviación de línea media dentaria inferior hacia la izquierda.
2. Foto inicial vista lateral derecho clase I molar.
3. Vista lateral derecho. Observamos pieza 3.4 con mordida invertida.
4. Armado con brackets Roth estéticos de porcelana.
5. Comienzo de alineación en maxilar inferior.
6. Alineación y nivelación en maxilar superior.
7. Foto final frente en oclusión con correcta guía anterior.
8. Foto final vista lateral derecha correcta guía canina.
9. Foto final lateral izquierda.
10. Foto final con contención removible superior.
11. Vista oclusal con contención fija inferior.
12. Arcada superior alineada.
13. Estéticas de canino a canino.
14. Otra vista de las restauraciones estéticas.
15. Antes y después.
Caso Clínico de Ortodoncia:
Clase I molar con mordida invertida bilateral de segundos premolares y primeros molares y mordida abierta anterior.
1. Foto inicial vista de frente.
2. Vista lateral derecha.
3. Vista lateral izquierda.
4. Vista oclusal maxilar superior.
5. Vista oclusal maxilar inferior.
6. Armado superior con brackets de porcelana.
7. Utilización de arco de propulsión superior.
8. Vista lateral derecha.
9. Vista lateral izquierda.
10. Armado maxilar inferior.
11. Gomas intermaxilares para asentamiento oclusal.
12. Vista lateral derecha.
13. Vista lateral izquierda.
14. Retiro de aparatología.
15. Vista lateral derecha.
16. Vista lateral izquierda.
17. Contención removible superior.
18. Vista oclusal contención fija y removible superior.
19. Vista oclusal contención fija inferior.
20. Antes y despues.
Caso Clínico de Ortodoncia:
Caso clínico con apiñamiento antero-superior y desviación de línea media dentaria superior debido a la ausencia por extracción del primer premolar.
1. Foto inicial de frente. Falta de espacio para 2.2 y desviación de línea media dentaria superior.
2. Vista lateral izquierda. Ausencia de pieza 2.4.
3. Vista lateral derecha. Se indica exodoncia pieza 1.4 para alinear línea media.
4. Vista oclusal maxilar superior luego de la exodonciay comienzo del tratamiento.
5. Vista oclusal de maxilar inferior. Se observa ausencia de piezas 3.5 y 4.5.
6. Armado de maxilar superior con brackets estéticos.
7. Armado de maxilar superior vista lateral.
8. Vista lateral derecho. Secuencia de tratamiento.
9. Vista oclusal con maxilar alineado y cierre de espacio en proceso.
10. Vista maxilar inferior alineado.
11. Secuencia de arcos. Arcos rectangulares.
12. Vista lateral derecho con arcos rectangulares.
13. Vista lateral izquierdo con arcos rectangulares.
14. Vista de frente. Tratamiento finalizado.
15. Vista lateral derecho. Tratamiento finalizado.
16. Vista lateral izquierdo. Tratamiento finalizado.
17. Vista oclusal superior.
18. Vista oclusal infrerior.
19. Antes del tratamiento.
20. Después del tratamiento.
Caso Clínico de Ortodoncia:
Clase I molar con dentición permanente, mordida invertida de 2.2., 2.5 y 2.6, apiñamiento antero-inferior con ausencia de 2.4.
Diagnóstico del caso
Visualización de arcadas superior e inferior.
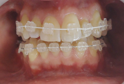
Armado con brackets estéticos Roth 022 x 030 y secuencia de arcos Técnica Arco Recto para alineación y nivelación.
Caso finalizado, vistas de la oclusión final.
Contención removible superior y fija inferior.
Antes y después.
Caso Clínico de Ortodoncia:
Clase I molar con denticion mixta, leve apiñamiento antero superior e inferior con canino superior izquierdo retenido.
Diagnóstico del caso
Armado con brackets metalicos Roth 022 x 030, esperando recambio dentario.
Secuencia de arcos Técnica Arco Recto para alineación y nivelación ambos maxilares.
Cirugía: Liberación canino superior con colocación de botón para reubicarlo en la arcada.
Caso finalizado, vistas de la oclusión final.
Contención removible superior y fija inferior.
Antes y después.
Caso Clínico de Ortodoncia:
Mordida cruzada posterior unilateral derecha con desviación linea media dentaria superior, leve apiñamiento anteroinferior.
Tratamiento: Armado con técnica de Arco Recto y Brackets estéticos Roth 022 x 030
Secuencia de arcos para alineacion y nivelacion.
Contención fija en maxilar inferior y placa Hawley superior.
Vistas de oclusión finales.
Antes y Después.
Caso Clínico de Ortodoncia:
Clase I molar con apiñamiento antero superior e inferior, leve mordida abierta anterior y biprotrusión.
Foto inicial del paciente en oclusión.
Vista lateral en oclusión
Vista oclusal de ambas arcadas: Se observa la falta de alineación tridimensional y el apiñamiento anterior.
Se colocan los brackets estéticos de zafiro superiores. Se indican las exodoncias de 2° premolares (sup. e inf.)
Armado de maxilar inferior.
Vemos la alineación lograda, y el pasaje a arcos más pesados.
Arcos DKL para el cierre de los espacios.
Activación distal del arco con ligaduras suzuki.
Uso de arcos Braided y gomas intermaxilares para el asentamiento de la oclusión.
Finalización del tratamiento, retiro de la apartología. Vista lateral en oclusión
Comparación antes y después del tratamiento
Caso Clínico de Ortodoncia:
Clase I molar con apiñamiento antero superior e inferior
El paciente está aún sin tratamiento. Foto inicial de la oclusión.(Modelo inicial).
Arcada superior y arcada inferior: vemos el apiñamiento en la zona de los incisivos y la giroversión de algunas piezas dentarias.
Foto lateral de la oclusión donde muestra una clase I molar (leve tendencia a clase II) lado izquierdo del paciente y clase I molar del lado derecho.
Podemos observar los avances realizados con la aparatología fija al cabo de unos meses, donde ya se ha armado también el maxilar inferior. Vemos la alineación lograda, y el pasaje a arcos más pesados. El paciente comienza la primera fase del tratamiento con colocación de brackets estéticos(Roth .022 x.030) en ambos maxilares, bandas 1º molares,realizando la secuencia de arcos correspondiente según la técnica de arco recto.
El paciente continúa el tratamiento hasta la alineación final.
Finalizado el tratamiento de observa la correcta alineación de las piezas dentaries su relación con la arcada antagonista.
Vista oclusal de ambos maxilares.
Vistas laterales.
Contención removible superior.Vista frontal y oclusal de la placa Hawley superior.
Comparación del antes y el después.
Caso Clínico de Ortodoncia:
Clase II molar con importante apiñamiento superior e inferior y falta de espacio para laterales superiores.
El paciente está aún sin tratamiento.Foto inicial en oclusión.
Observamos las vistas oclusales de ambas arcadas con el apiñamiento anterior y la gran falta de espacio para los incisivos laterales superiores.
El paciente comienza la primera fase, con colocación de brackets metálicos de Roth .022 x.030, utilización de resorte de nitinol para generar lugar para el lateral.
Vemos el paulatino cierre de los espacios y a su vez la alineación dentaria correspondiente.
Se colocan 2 barras transpalatinas para lograr un anclaje máximo y se indican la exodoncias de 2° premolares superiores e inferiores, habiendo ya armado también el maxilar inferior.
Se continúa con la secuencia de arcos y comenzamos a utilizar gomas triangulares para asentamiento de la oclusión
Etapas finales con arcos pesados rectangulares (braided.012 x .025)
Foto final de la paciente, ya sin la aparatología, donde podemos observar la correcta alineación de las piezas dentarias,como se corresponden con su antagonista y la alineación de la línea media.
Arcada superior en una vista oclusal después de retirar la aparatología.
Vistas oclusales de ambas arcadas con sus respectivas contenciones(removible en el maxilar superior y fija en el inferior).
Antes y después.
Caso Clínico de Ortodoncia:
Clase I molar. Diastemas antero-inferiores y 2º molares en tijera (cruzados)
El caso se complementará con un tratamiento protético en el sector antero-superior, por tal motivo la paciente decide realizar solo el armado del maxilar inferior.
Foto inicial donde se ven diastemas y leve apiñamiento en maxilar inferior.
Paciente en oclusión.
Observamos la lingualización del 2º molar inferior y la vestibulización del 2º molar superior.(Mordida en tijera)
Colocación de bandas molares y uso de gomas en “S” para descruzar los molares.
Armado del maxilar inferior.
Luego de meses de tratamiento observamos el cambio producido con la aparatología fija.
Finalizado nuestro trabajo en el sector antero-inferior procedemos a colocar la contención fija, y se continúa con el uso de las gomas en”S”.
Se retiran las bandas molares. Ya descruzado el molar inferior izquierdo(3.6) se refuerza la contención inferior con una Placa Hawley para mantenerlo en su posición.
Caso Clínico de Ortodoncia:
Clase III molar con mordida invertida anterior y canino superior retenido(1.3.) con persistencia del temporario
Foto inicial en oclusión donde se ve la desviación de la linea media y la importante mordida invertida del ssector anterior.
Laterales donde se observa la mordida invertida anterior,la falta de espacio para el canino izquierdo y la presencia del canino temporario derecho.
Vistas oclusales donde se observa la falta de alineación tridimensional de ambas arcadas, el apiñamiento anterior y la falta de espacio para los caninos superiores.
Armado del maxilar superior con tecnica de Ricketts, colocación arco de nivelación superior.
Colocación arco más pesado para lograr el descruce anterior.
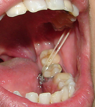
Liberación del canino superior con colocación de brackett y exodoncia del canino temporario.
Vista lateral y de frente para ver el descenso del canino retenido.
Finalización del tratamiento y colocacion de una placa de contención removible superior. Observamos una correcta linea media y el descruce de la mordida anterior.
Vistas oclusales donde se ve la correcta alineacion tridimensional de ambas arcadas.
Vistas laterales de la oclusion ya finalizado el tratamiento.
Comparación antes y después del tratamiento.
Caso Clínico de Ortodoncia:
Clase I molar con importante apiñamiento anterior, giroversion de caninos superiores y falta de espacio para la pieza 4.3
Foto inicial del paciente en oclusion
Fotos laterales de la oclusion: observamos la clase I donde vemos la desviación de la linea media, y la perdida de la relacion canina debido al apiñamiento antero superior e inferior y la falta de espacio para la pieza 4.3. Overbite aumentado.
Vista oclusal de ambas arcadas donde se ve claramente el importante apiñamiento anterior tanto en el maxilar superior como en el inferior y la giroversion y falta de espacio para los caninos.
Vista de frente ya con la aparatologia colocada. Colocacion de brackets estéticos y arco de nitinol redondo. Armado del maxilar inferior y secuencia de arcos mas pesados de acero para alinear y nivelar ambos maxilares.
Secuencia de arcos y para finalizar colocación de arcos rectangulares y gomas intermaxilares para el asentamiento de la oclusión.
Foto final de la oclusión de frente y laterales. Vemos la finalización del tratamiento, donde se observa la correcta relación de ambas arcadas, clase I molar y relación canina en uno, overjet, overbite y línea media correctos.
Fotos oclusales finales que nos muestran la correcta alineacion tridimensional. En el maxilar inferior se colocó una contención fija de canino a canino.
Antes y despues del tratamiento de ortodoncia.
Para contactar ortodoncia salud puedes llamarnos la 11 5642-1245 o completa el siguiente formulario:
Deja un comentario
Lo siento, tenés que estar conectado para publicar un comentario.
Deja un comentario
Lo siento, tenés que estar conectado para publicar un comentario.