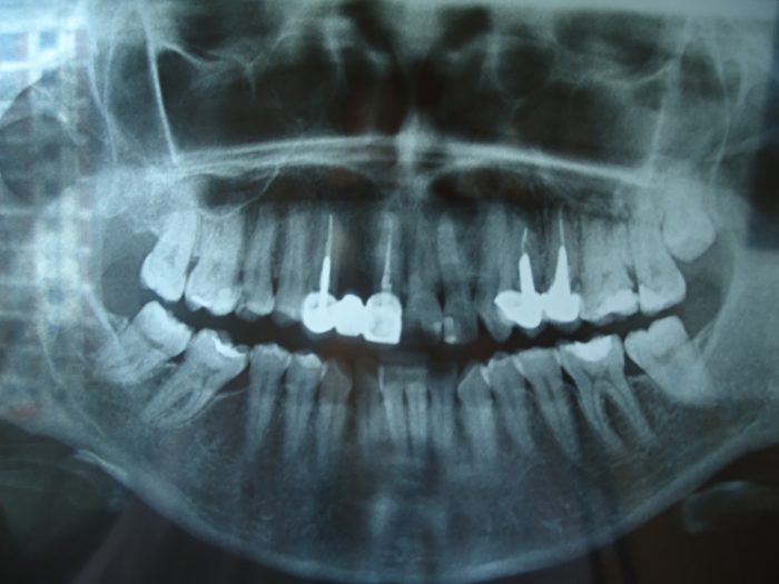
0- rx inicial Se observa puente piezas anterores con ausencia del 1.2 RX inicial. Se observa puente piezas anterores con ausencia del 1.2 Deja un comentarioLo siento, tenés que estar conectado para publicar un comentario.
Deja un comentario
Lo siento, tenés que estar conectado para publicar un comentario.