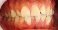
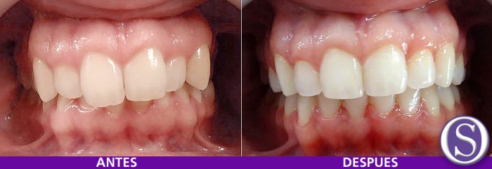
26- Comparativa antes y después del tratamiento 26- Comparativa antes y después del tratamiento Deja un comentarioLo siento, tenés que estar conectado para publicar un comentario.
Deja un comentario
Lo siento, tenés que estar conectado para publicar un comentario.