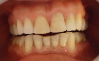
Foto final de la rehabilitacion dando estabilidad y estetica a la guia anterior Foto final de la rehabilitacion dando estabilidad y estetica a la guia anterior Deja un comentarioYou must be logged in to post a comment.
Deja un comentario
You must be logged in to post a comment.