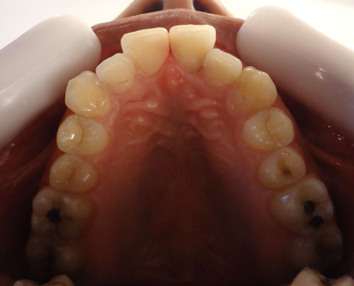
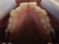
10- Vista oclusal con restauraciones estéticas interproximales, palatina y borde incisal 10- Vista oclusal con restauraciones estéticas interproximales, palatina y borde incisal Deja un comentarioLo siento, tenés que estar conectado para publicar un comentario.
Deja un comentario
Lo siento, tenés que estar conectado para publicar un comentario.