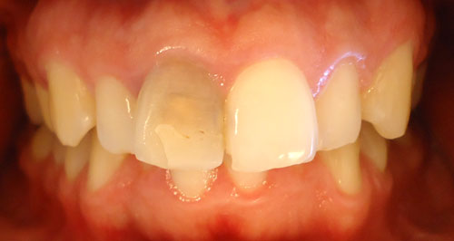
13- Antes Antes del Blanqueamiento dental interno Deja un comentarioYou must be logged in to post a comment.
Deja un comentario
You must be logged in to post a comment.