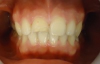
Foto de frente en leve apertura para observar la lesion Foto de frente en leve apertura para observar la lesion Deja un comentarioLo siento, tenés que estar conectado para publicar un comentario.
Deja un comentario
Lo siento, tenés que estar conectado para publicar un comentario.