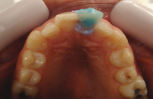
4- Vista oclusal del blanqueamiento interno pieza 1.1 4 – Vista oclusal del blanqueamiento interno pieza 1.1 Deja un comentarioLo siento, tenés que estar conectado para publicar un comentario.
Deja un comentario
Lo siento, tenés que estar conectado para publicar un comentario.