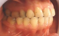
1 – Foto inicial pac con ausencia de pieza 1.2, mordida invertida pieza 1.3 y restauraciones filtradas con cambio de coloracion 1 – Foto inicial pac con ausencia de pieza 1.2, mordida invertida pieza 1.3 y restauraciones filtradas con cambio de coloracion Deja un comentarioLo siento, tenés que estar conectado para publicar un comentario.
Deja un comentario
Lo siento, tenés que estar conectado para publicar un comentario.