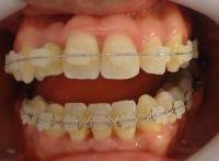
13- Vista frontal del tratamiento 13- Vista frontal del tratamiento Deja un comentarioLo siento, tenés que estar conectado para publicar un comentario.
Deja un comentario
Lo siento, tenés que estar conectado para publicar un comentario.