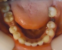
24- Vista final lateral dercho con colocacion de implante pieza 4.6 24- Vista final lateral dercho con colocacion de implante pieza 4.6 Deja un comentarioYou must be logged in to post a comment.
Deja un comentario
You must be logged in to post a comment.