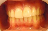
29 – Vista de frente en oclusion 19 – Vista de frente en oclusion. Deja un comentarioLo siento, tenés que estar conectado para publicar un comentario.
Deja un comentario
Lo siento, tenés que estar conectado para publicar un comentario.