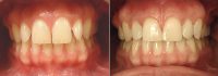
1-Foto inicial vista de frente apiñamiento anterosuperior 1 Foto inicial vista de frente apiñamiento anterosuperior Deja un comentarioLo siento, tenés que estar conectado para publicar un comentario.
Deja un comentario
Lo siento, tenés que estar conectado para publicar un comentario.