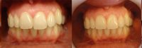
1- Foto inicial vista en oclusion 1- Foto inicial vista en oclusion Deja un comentarioLo siento, tenés que estar conectado para publicar un comentario.
Deja un comentario
Lo siento, tenés que estar conectado para publicar un comentario.