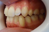
2-Lateral derecho observando relacion canina y clase molar 2- Lateral derecho observando relacion canina y clase molar Deja un comentarioLo siento, tenés que estar conectado para publicar un comentario.
Deja un comentario
Lo siento, tenés que estar conectado para publicar un comentario.