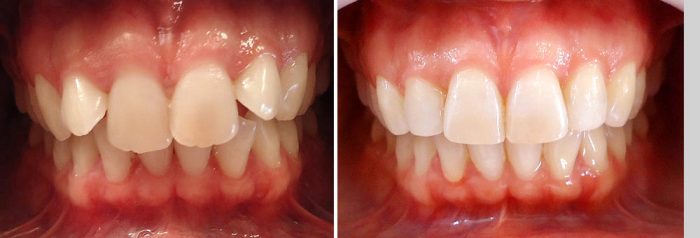
32-Comparativa-antes-y-después 32 Comparativa antes y después del tratamiento. Deja un comentarioLo siento, tenés que estar conectado para publicar un comentario.
Deja un comentario
Lo siento, tenés que estar conectado para publicar un comentario.