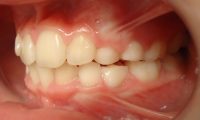
9-Avance del tratamiento. Se observa redondeo de ambos maxilares 9-Avance del tratamiento. Se observa redondeo de ambos maxilares Deja un comentarioLo siento, tenés que estar conectado para publicar un comentario.
Deja un comentario
Lo siento, tenés que estar conectado para publicar un comentario.