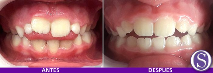
15-CONTROL-ANTES-Y-DESPUES.-Aun-en-tratamiento 15-CONTROL-ANTES-Y-DESPUES.-Aun-en-tratamiento Deja un comentarioYou must be logged in to post a comment.
Deja un comentario
You must be logged in to post a comment.