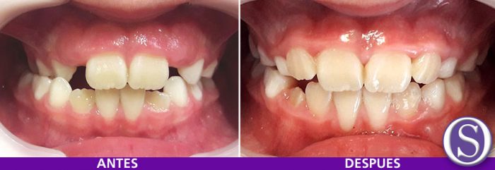
18-VISTA-FRONTAL-ACTUAL.-En-tratamiento-terminando-el-recambio-dentario. 18-VISTA-FRONTAL-ACTUAL.-En-tratamiento-terminando-el-recambio-dentario. Deja un comentarioLo siento, tenés que estar conectado para publicar un comentario.
Deja un comentario
Lo siento, tenés que estar conectado para publicar un comentario.