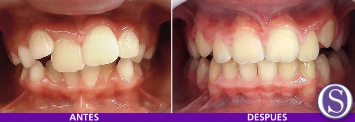
31-Antes-y-depues-aun-en-tratamiento 31-Antes-y-depues-aun-en-tratamiento Deja un comentarioLo siento, tenés que estar conectado para publicar un comentario.
Deja un comentario
Lo siento, tenés que estar conectado para publicar un comentario.