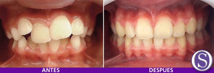
39 – Antes y depues FINAL del tratamiento. 39 – Antes y depues FINAL del tratamiento. Deja un comentarioLo siento, tenés que estar conectado para publicar un comentario.
Deja un comentario
Lo siento, tenés que estar conectado para publicar un comentario.