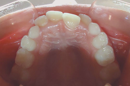
6- Vista oclusal inicial, falta de espacio en la arcada Deja un comentarioYou must be logged in to post a comment.
Deja un comentario
You must be logged in to post a comment.