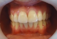
Foto inicial de paciente con sobremordida ya tratada ortodoncicamente,vemos desgastes incisales previos al tratamiento

Foto inicial de paciente con sobremordida ya tratada ortodoncicamente,vemos desgastes incisales previos al tratamiento

Foto inicial de paciente con sobremordida ya tratada ortodoncicamente,vemos desgastes incisales previos al tratamiento

Deja un comentario

Top