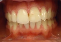
Rehabilitacion con restauracion estetica pieza 1.2 vestibulo-incisal Rehabilitacion con restauracion estetica pieza 1.2 vestibulo-incisal Deja un comentarioYou must be logged in to post a comment.
Deja un comentario
You must be logged in to post a comment.