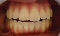
Armonizacion de bordes incisales mejorando la estetica anterior Armonizacion de bordes incisales superiores (piezas 11, 12, 21 y 22) mejorando la estetica anterior Deja un comentarioLo siento, tenés que estar conectado para publicar un comentario.
Deja un comentario
Lo siento, tenés que estar conectado para publicar un comentario.