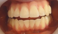
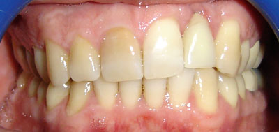
1 – Foto inicial con piezas 1.1 y 1.2 con manchas amarillentas grisaseas en zona gingival 1 – Foto inicial con piezas 1.1 y 1.2 con manchas amarillentas grisaseas en zona gingival Deja un comentarioLo siento, tenés que estar conectado para publicar un comentario.
Deja un comentario
Lo siento, tenés que estar conectado para publicar un comentario.