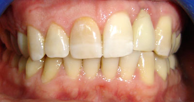
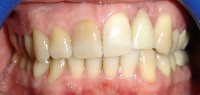
2 – Primera sesion de Blanqueamiento interno en piezas 1.1. y 1.2 2 – Primera sesion de Blanqueamiento interno en piezas 1.1. y 1.2 Deja un comentarioYou must be logged in to post a comment.
Deja un comentario
You must be logged in to post a comment.