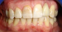
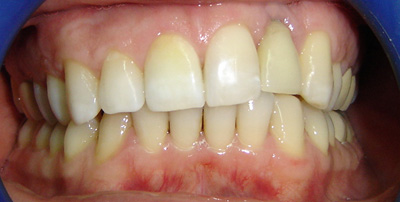
3 – Luego de varias sesiones de blanqueo interno de ambas piezas 3 – Luego de varias sesiones de blanqueo interno de ambas piezas Deja un comentarioYou must be logged in to post a comment.
Deja un comentario
You must be logged in to post a comment.