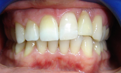
4 – Finalizacion del tratamiento con blanqueamiento externo en toda la boca 4 – Finalizacion del tratamiento con blanqueamiento externo en toda la boca Deja un comentarioLo siento, tenés que estar conectado para publicar un comentario.
Deja un comentario
Lo siento, tenés que estar conectado para publicar un comentario.