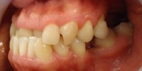
1- Foto inicial donde observamos mordida invertida anterior con importante apiñamiento y desviacion linea media dentaria 1- Foto inicial donde observamos mordida invertida anterior con importante apiñamiento y desviacion linea media dentaria Deja un comentarioLo siento, tenés que estar conectado para publicar un comentario.
Deja un comentario
Lo siento, tenés que estar conectado para publicar un comentario.