Ortodoncia Salud – Dentistas Estetica dental
Estetica dental, dentistas, ortodoncistas buenos aires argentina Tel. 4961-8116
Show Navigation
Hide Navigation
Consultorios
Sobre Ortodoncia Salud
Profesionales Especializados
Especialidades Odontológicas
Imagenes de Nuestro Consultorio Odontológico
Casos Clínicos
Ortodoncia Convencional
Ortodoncia Invisible
Ortodoncia Miofuncional
Prótesis, Implantes y Cirugía
Estética Dental
Recursos
Preguntas Frecuentes
Técnicas de Relajación
Ejercicios de Respiración
Ejercicios de Relajación
Ejercicios de Visualización
Ejercicios Fonoaudiológicos
La Ortodoncia
English Version
Orthodoncy
Clinical cases of orthodoncy
Why Ortodoncia Salud
Professionals of Ortodoncia Salud
Frequently Asked Questions
Belgrano/Núñez Odonthologic Consult’s images
Turnos al 11 5642 1245
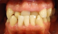
16 – Despues
16 – Despues
Deja un comentario
You must be logged in to post a comment.
Top
Chatea con Nosotros
Deja un comentario
You must be logged in to post a comment.