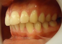
10 – Vista lateral donde vemos la correccion de la inclinacion de la pieza 21 10 – Vista lateral donde vemos la correccion de la inclinacion de la pieza 21 Deja un comentarioLo siento, tenés que estar conectado para publicar un comentario.
Deja un comentario
Lo siento, tenés que estar conectado para publicar un comentario.