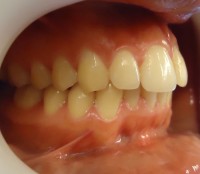
11 – Vista lateral izq comienza la correccion de la guia anterior y overjet 11 – Vista lateral izq comienza la correccion de la guia anterior y overjet Deja un comentarioLo siento, tenés que estar conectado para publicar un comentario.
Deja un comentario
Lo siento, tenés que estar conectado para publicar un comentario.