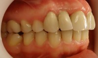
11 – Foto final con Rehabilitaciones proteticas realizadas de 3 a 3 max sup, coronas individuales 11 – Foto final con Rehabilitaciones proteticas realizadas de 3 a 3 max sup, coronas individuales Deja un comentarioLo siento, tenés que estar conectado para publicar un comentario.
Deja un comentario
Lo siento, tenés que estar conectado para publicar un comentario.