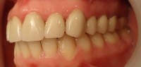
12 – Foto final vista lateral der, se coloco un implante pieza 12 ausente 12 – Foto final vista lateral der, se coloco un implante pieza 12 ausente Deja un comentarioLo siento, tenés que estar conectado para publicar un comentario.
Deja un comentario
Lo siento, tenés que estar conectado para publicar un comentario.